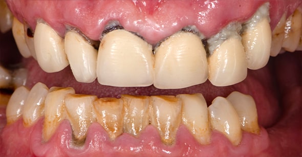
全ての歯をインプラントに?
ボロボロのお口を劇的に改善
「オールオン4+α」という選択
重度歯周病・総入れ歯から
解放され、あなたの笑顔を取り戻す
オールオン4+α
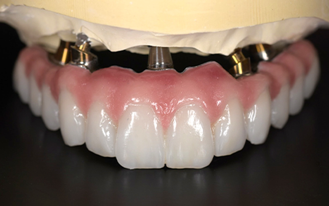
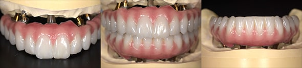
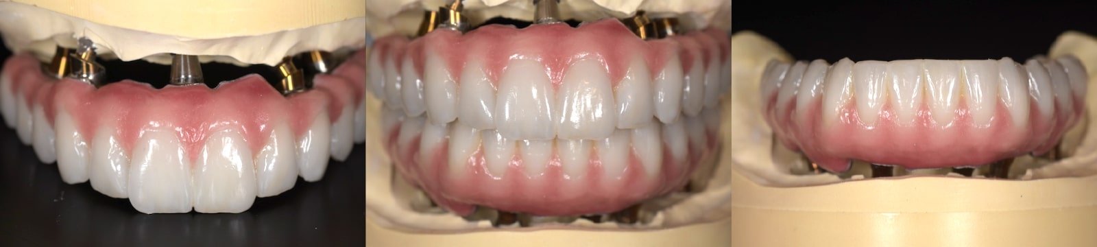
オールオン4+α(All-on-4+α)とは、上下に最少4本ずつのインプラントを埋入し、総入れ歯の形をした上部構造を固定して短時間で見た目と噛み合わせ機能を回復させる治療法です。
長い間歯がない状態が続くと、歯を支える骨がなくなっていきます。そうなってしまうと通常のインプラント治療が難しくなります。そんな状態でも、傾斜埋入という技術で斜めにインプラントを埋入して上部構造をガッチリと固定することができるため、歯がボロボロの方や骨の少ない方のように多くの患者さまの状態に適用することができます。
オールオン4+αはこんな方におススメ
-
残っている歯が
ほとんどない -
歯周病で
歯がボロボロ -
総入れ歯で
手入れが面倒
オールオン4+αと
インプラントって何が違うの?
歯がない箇所が多いほど
オールオン4+αを選ぶメリットが大きくなります
オールオン4+αは、全ての歯を4本〜6本のインプラントで支えます。歯の1本1本にインプラントを埋める一般的な治療よりも、身体への負担が少ない治療法です。
インプラント(一般的なもの)
|
オールオン4+α
|
|
|---|---|---|
| 患者さんの 負担 |
負担が大きい | 負担が少ない |
| 治療方法 | 1本の歯に対して 1本のインプラント埋入 |
片あご4本のインプラントで すべての歯を支える |
| 適応ケース |
顎の骨が少ない場合 大掛かりな治療が必要骨造成などを行う場合、 治療期間が長引き費用も高くなります。 |
総入れ歯、歯がほとんどない 歯がボロボロの方が対象 |
| 治療期間 |
1年以上になる場合も骨造成が必要な場合は 1年以上になることもあります。 |
1日で歯が入る |
| 食 事 |
慣れるまで時間がかかる仮の入れ歯を入れての 対応になります。 |
手術の当日から 食事ができる |
| 費 用 |
インプラントの本数が 増えるほど高額インプラントの本数が増えれば増えるほど 費用は高額になります |
費用は固定 |
インプラント(一般的なもの)
|
|
|---|---|
| 患者さんの 負担 |
負担が大きい |
| 治療方法 | 1本の歯に対して 1本のインプラント埋入 |
| 適応ケース |
顎の骨が少ない場合 大掛かりな治療が必要骨造成などを行う場合、 治療期間が長引き費用も高くなります。 |
| 治療期間 |
1年以上になる場合も骨造成が必要な場合は 1年以上になることもあります。 |
| 食 事 |
慣れるまで時間がかかる仮の入れ歯を入れての 対応になります。 |
| 費 用 |
インプラントの本数が 増えるほど高額インプラントの本数が増えれば増えるほど 費用は高額になります |
オールオン4+α
|
|
|---|---|
| 患者さんの 負担 |
負担が少ない |
| 治療方法 |
片あご4本のインプラントで すべての歯を支える |
| 適応ケース |
総入れ歯、歯がほとんどない 歯がボロボロの方が対象 |
| 治療期間 | 1日で歯が入る |
| 食 事 |
手術の当日から 食事ができる |
| 費 用 | 費用は固定 |
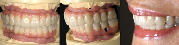
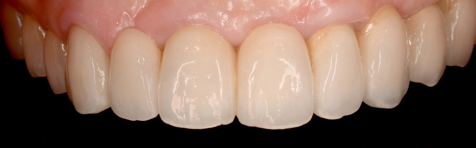
オールオン4+αのメリット
短期間で劇的に見た目改善できる
しっかり何でも噛めるようになる
オールオン4で失敗しないために
魅力的な治療法でも
治療にあたって注意点も
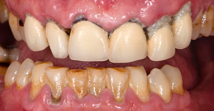
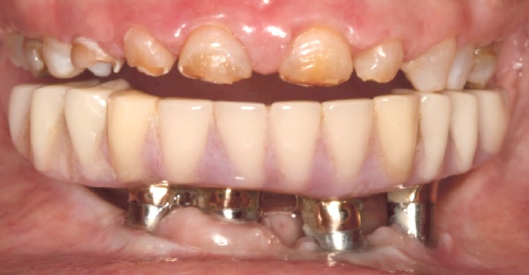
当院には、オールオン4治療で失敗してしまった患者さんが多数相談に来られます。そのほとんどが、他医院の格安なオールオン4治療を受けた方です。
-
point 1
安価なオールオン4は
要注意オールオン4は短時間で見た目と噛み合わせを改善できる反面、適切な治療を受けようとするとどうしても費用がかかります。そのため、150万円〜200万円程度の格安をアピールするオールオン4が魅力的に見えるかもしれませんが、十分に注意して下さい。
手間を省き、粗悪な素材を使うことで安くすることは可能ですが、結果的に患者さんを苦しめることになります。そして、その結果は数年経って初めて気付きます。アメリカ・日本国内において長年真剣に患者さんに向き合ってきた私達だから分かるこの事実をどうかご理解下さい。
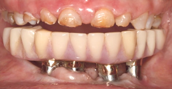
インプラントのトラブルでご来院された患者様の症例写真。インプラントを除去せざるを得ませんでした。
-
point 2
力のコントロール
〜顎の力との調和〜顎の力は非常に強いため、噛むことによって生じる力と上部構造との調和が取れていなければなりません。調和が取れていなければ力に耐えきれずに壊れてしまう場合があります。治療計画・シミュレーションの精度がオールオン4の成功を左右します。
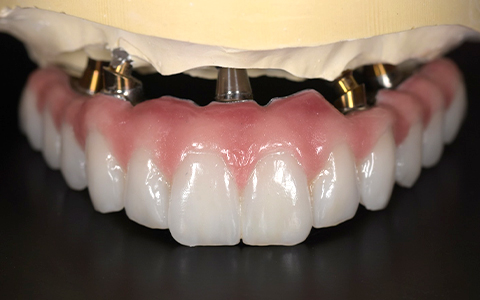
アクセスホールの位置
インプラント体と上部構造を連結するための穴を「アクセスホール」と呼びます。オールオンフォーでは、一般的に4つのアクセスホールを作成しますが、この位置関係が極めて重要になります。
インプラントの埋入位置について、事前に十分なシミュレーションを行っていない場合、その場凌ぎ的に不適切な箇所にアクセスホールを作ることになります。術前の診査・診断・プランニング、咬合力の強さや補綴物のスペースを考慮した治療計画を作成し、ガイデッドサージェリーによってインプラント埋入を行えば、このようなミスは決して発生しません。
-
point 3
炎症のコントロール
オールオン4で埋入したインプラント体の周囲の組織についても、感染による炎症の恐れがあります。特に、上下ともオールオンフォーのケースよりも、ご自身の歯が残っているケースでは歯周病のコントロールができなければ、インプラントが脱落してしまうリスクもあります。
ご自身の歯を残して上下どちらかだけオールオン4にするようなケースについて、アバンダンスデンタル名古屋では術前治療として、徹底的に歯周病のコントロールを行います。
蓄積した細菌・バイオフィルム
施術前と、施術後については定期的に細菌検査を行い、歯周病原菌が増殖していないか、チェックしていきます。
長期的に良い状態を維持するために、定期的なメインテナンスが必須です。アバンダンスデンタル名古屋は治療成果を生涯存続させ、患者様が笑顔でいられるよう全力を尽くしています。 -
point 4
粘膜のコントロール
患者様それぞれのライフスタイルを踏まえて、アバンダンスデンタル名古屋独自の技術で、上部構造の裏側に汚れのつきにくい形状を付与しています。上部構造の裏側は、歯ぐきと直接接する部分で、衛生管理の点からもとても繊細な設計が必要になります。
オールオン4+α以外の治療法もご用意
あらゆるインプラント治療に
精通した専門クリニック
当院は、あらゆるインプラント治療に精通した専門クリニックです。1本単位のインプラントから、オールオン4+α、さらには骨量が少ない場合でも対応できる特殊なインプラント治療まで、当院ではあらゆるインプラント治療法をご用意。
安心のインプラント治療をご提供致します。
-
plan1残せる歯はしっかり残し、最低限の
インプラント治療を行います何でもかんでも抜歯してインプラントをお勧めするのではなく、患者さん自身の大切な天然の歯をなるべく残すよう努力し、どうしても難しい部分にだけインプラント治療を提案するのが当院のスタイルです。
抜歯の原因となるのは、大きく分けて「重度の歯周病」「虫歯による根の感染」、「歯根破折」の3つです。「歯根破折」については、正直残すことは難しいケースが多くなりますが、その他のケースでは、歯を温存するための方策を十分に検討することを第一とします。
これまでの歯科医師人生を通じての結論は、「天然歯に勝るものなし」です。 -
インプラントを固定する骨が十分にない前歯のインプラントは極めて難易度が高くなります。前歯は目立つため、見た目の美しさを気にして患者様の要求水準が高まるのも前歯のインプラントの特徴です。こういった症例は技術的に難しいため、インプラント治療ではなくブリッジでの治療を勧める歯科医院が多いのが現実です。
しかしブリッジの場合、歯のない部分の歯ぐきが時間の経過とともにどんどん痩せていくため美しい見た目を維持することは困難です。又、健康な歯を削ることは最大のデメリットです。当院では、このような難しい前歯のインプラント治療も得意分野の一つです。plan2前歯1本だけ失ってしまった方には
自然で美しいインプラントを -
plan3オールオン4+α以外の選択肢も
多数ご用意通常のオールオン4では、人工的に歯肉の部分の構造を作成し、そこに歯を並べていく、いわば総入れ歯のような上部構造を使用します。しかしながら、オールオン4でさえも難しいほどに骨が少ない患者さまもいらっしゃいます。そんな方でも解決する手段が私たちにはあります。
見た目と機能を回復することができる、当院へお任せください。
最短24時間で完結
私たちが選ばれる理由
アバンダンスデンタル名古屋の
オールオン4+αとは
-
熟練のインプラント技術
他院で、抜歯とインプラント治療を勧められた多くの患者さんが、セカンドオピニオンで来院されています。チーム医療で正確な診査を行い、治療を行います。
-
専門医による高度治療チーム
世界レベルの歯科医療を学び、名古屋で患者さんの人生を変える歯科医療に挑戦しています。
-
幅広い治療技術
オールオン4の治療技術だけでなく、インプラントや重度歯周病の治療からその後メインテナンスに至るまでありとあらゆる歯科治療に高度なレベルで対応可能です。
-
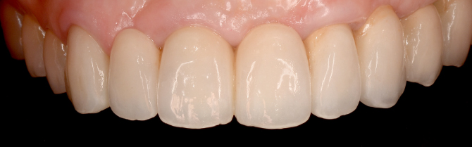
とびきり美しい上部構造
ただ治すのではなく、美しく治す。しかも、とびっきり美しく治すことにこだわっています。そのため、数々の賞を受賞する腕の良い歯科技工士と連携して歯をデザインしています。
-
痛みに配慮した治療
当院では、全ての治療において、麻酔科専門医との連携により、静脈内鎮静法という麻酔を用いて眠った間に治療を行うことが可能です。
-
保証・アフターフォロー
治療終了後は治療結果を長期的に維持し、健康な歯を生涯維持するための予防メインテナンスプログラムを提供しています。
オールオン4+αの流れ
オールオン4+αは診査・診断と
プランニングが全て
-
カウンセリング
まずは、お気軽に60分カウンセリングにお越し下さい。患者様のプライバシーが守られた院内で丁寧にお話を伺い、CT検査から診査診断、治療計画を行います。
専門医チームのアバンダンスデンタル名古屋だからこそできる、施術から最短24時間で最高の笑顔を取り戻す治療プランをご提案致します。
-
診査・診断・治療計画
診査・診断・治療計画は、オールオン4を成功に導くために必要なとても大事なステップです。
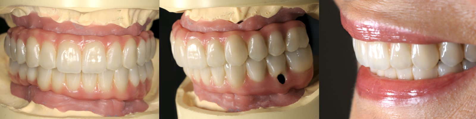
3Dスマイルデザイン、ワックスアップ、ラジオグラフィックガイド等によるプランニングに基づいて、患者様それぞれに合わせたオーダーメイドの治療を慎重に進めていきます。
-
術前治療
初診検査時の口腔内の状態により、すぐに施術できない場合は、歯周病治療や噛み合わせなどの術前治療で口腔内の環境を整えます。
オールオン4治療後に長期に渡ってかみ合わせを機能させるために、この術前治療が極めて重要になってきます。
-
施術当日
施術の内容や施術時間、患者様の希望にあわせた麻酔の導入の後、ドクターが責任をもって施術を行います。
この間、不快感や痛みを感じることはほとんどありません。術後、患者様だけの休憩室でお休みいただいて、一度お帰り頂きます。
ドクター紹介
こんな患者様にこそ
選んで頂きたい
-
アメリカ歯周病学会
歯周病インプラント認定医
ヨーロッパインプラント学会
インプラント認定医歯科医師築山 鉄平
-
アバンダンスデンタル名古屋
院長伊佐津 貴之
私たちが目指すのは、患者さん一人一人が心から笑顔になれて、美味しく食事ができる豊かで彩りに満ちた人生を創出することです。そのため、常に最先端・最善・秀逸な歯科医療を提供できるよう日々、切磋琢磨しています。
当院には、お口全体に問題を抱え、他医院でも治療ができずに悩んでいる患者さんがたくさん来院されます。そういった患者さん一人一人に、私たちにしかできない高いレベルの歯科医療を提供し、治療後は、思いっきり笑って、おいしい食事をしていただきたい、と願っています。
私たちのお手伝いを必要とされている患者さん、是非、お気軽にご相談下さい。
ご不明な点はございませんか?
よくある質問にお答えします
- オールオン4+αの費用相場はどのくらいですか?
- ケースによります。治療を行う部位、上部構造(歯の部分)の素材、追加処置の有無によって変動します。当院では相談を行っており、ご希望を伺った上でお見積もりもお出ししますので、お気軽にご利用ください。
- オールオン4の手術は痛くないですか?
- 痛くありません。当院では、全ての治療において、麻酔科専門医との連携により、静脈内鎮静法という麻酔を用いて眠った間に治療を行うことが可能です。気づいた時には治療が終わっているので、恐怖感や痛みを感じることはありません。
- オールオン4の手術は入院が必要でしょうか?
- 日帰り手術となります。入院の必要はありませんので、手術当日にお帰りいただけます。
- 骨が少なくてインプラントができないと言われたのですが大丈夫でしょうか?
- 骨が少なくても諦めないでください。オールオン4は骨が少ないケースにこそ適した治療法です。骨量が少ない場合のインプラント治療経験豊富なドクターがじっくりと時間をとってお話を伺い、検査・診断いたしますので安心してご来院ください。
- オールオン4に年齢制限はありますか?
- 制限はありません。もちろん全ての方に適用できる治療法ではありませんが、インプラントのように1本1本施術する必要がある治療法よりも身体への負担が少なく、見た目を改善することが可能です。年齢がご不安な方、体力に不安がある方もまずは一度ご相談ください。
60分相談受付〈セカンドオピニオン対応〉
-
ご予約
お電話、もしくはオンライン予約フォームからカウンセリングにお申し込み下さい。
-
各種検査
必要に応じて、パノラマレントゲン、CT撮影を行い、お口の中の状態を拝見します。他院での検査結果や、治療計画・見積もりなど持参いただいても結構です。
-
カウンセリング
検査データに基づき、現在の状態と見解をお伝えし、考えられる治療法について説明致します。

